+977-010590255
Sunday - Saturday | 9AM - 8PM
⏱️
Success Stories
Patient Success Stories
View Image
Operculectomy
Before
After
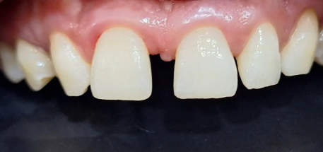
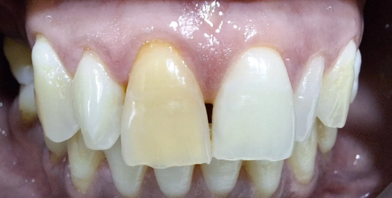
View Image
Frenectomy
Before
After
View Image
Metal Braces
Before
After
View Image
Clear Aligners
Before
After
View Image
Discolored Tooth Treated with Direct Composite Veneer
Before
After
View Image
Composite filling to restore decayed tooth
Before
After
View Image
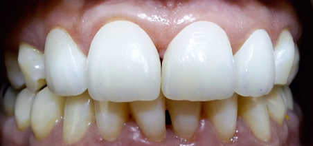
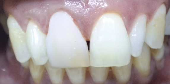
Midline Diastema Closure
Before
After